Înapoi la știri

Băiat din Noua Zeelandă pierde o parte din intestin după ce a înghițit magneți puternici

28 Oct 2025
2 minute min
Cristina Preda
Băiat din Noua Zeelandă pierde o parte din intestin după ce a înghițit magneți puternici

Băiat din Noua Zeelandă pierde o parte din intestin după ce a înghițit magneți puternici

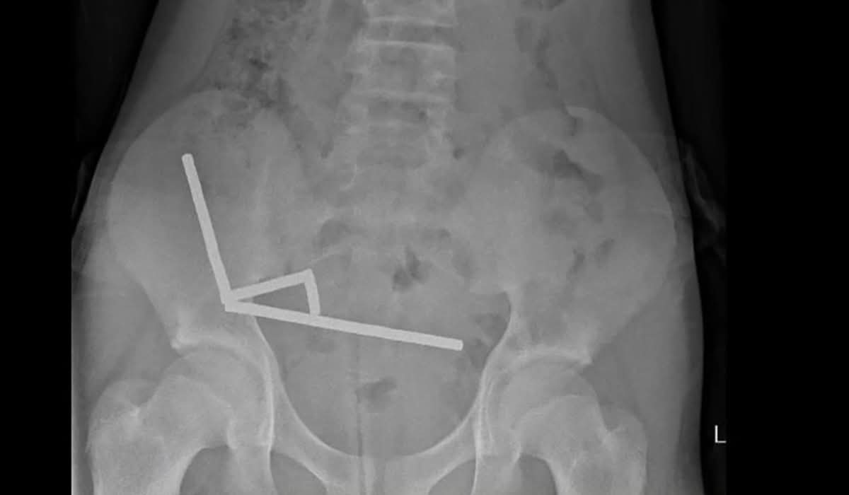
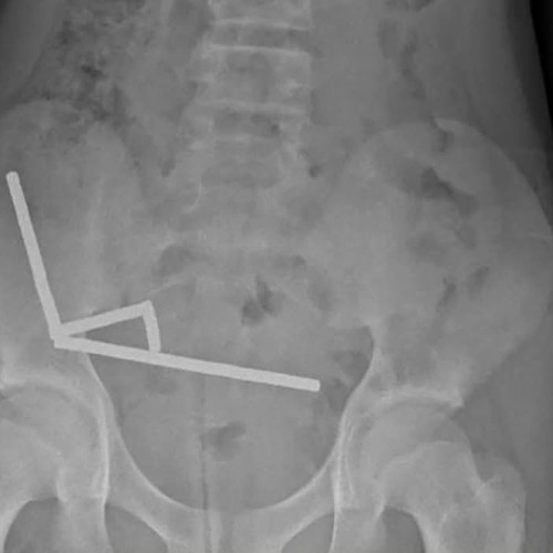
Un băiat de 13 ani din Noua Zeelandă a fost internat în spital după ce a înghițit între 80 și 100 de magneți puternici. Acesta a stat aproape o săptămână fără să ceară ajutor medical, în ciuda simptomelor îngrijorătoare. Situația a atras atenția autorităților sanitare locale.

În urma examinării și intervenției chirurgicale, medicii au fost nevoiți să îndepărteze o parte a intestinului pacientului, afectată grav de corpul străin. Intervenția s-a impus pentru a preveni complicații majore care îi puneau viața în pericol. În acest caz, timpul a jucat un rol crucial.

Conform unui raport detaliat oferit de asingorj.ro, situația cade sub incidența riscurilor majore cauzate de ingestia obiectelor străine, precum magneții puternici care pot provoca leziuni serioase în tractul digestiv. Acest caz întărește necesitatea educației privind siguranța copiilor în privința jucăriilor sau obiectelor periculoase.

Potrivit informațiilor transmise de CNN, care citează sursele medicale locale, băiatul a așteptat prea mult înainte de a solicita ajutor, ceea ce a agravat situația. Specialiștii recomandă consultarea rapidă a medicului în cazuri similare pentru a evita complicații. „Este important să nu subestimăm niciodată astfel de incidente,” au subliniat aceștia.

Alte postari din Ultima oră
Ultima oră

Ornela Pasăre: O minune de Paște, după trei ani fără gust și miros

Sărbătorile pascale au adus o revelație profundă pentru târgujianca Ornela Pasăre, care a experimentat o adevărată minune în această perioadă. Artista a declarat că, după o perioadă de trei ani și jumătate în care nu a mai simțit gustul și mirosul, aceste simțuri i-au revenit odată cu Postul Paștelui, pe care îl respectă cu strictețe în fiecare an.

Ultima oră

Atmosferă de sărbătoare în Tismana, la tradiționala Hora de Paște

Tismana a fost sărbătoare autentică în acest an, centrul orașului fiind plin de oameni care au venit să participe la tradiționala Hora de Paște. Potrivit asingorj.ro, localnici de toate vârstele s-au prins în horă, celebrând astfel tradițiile și unitatea comunității.

Ultima oră

Deznodământul unui scandal violent în Târgu Jiu, la un an de la incident

Un incident violent petrecut într-o sală de jocuri din Târgu Jiu, în urmă cu un an, a ajuns în atenția instanței. Judecătoria Târgu Jiu a pronunțat pe 9 aprilie 2026 sentințele definitive în cazul protagoniștilor, Denisa Nedelcu și Alis Suchici, care au fost implicați într-o agresiune care a șocat opinia publică, conform asingorj.ro.

Acasa Recente Radio Județe